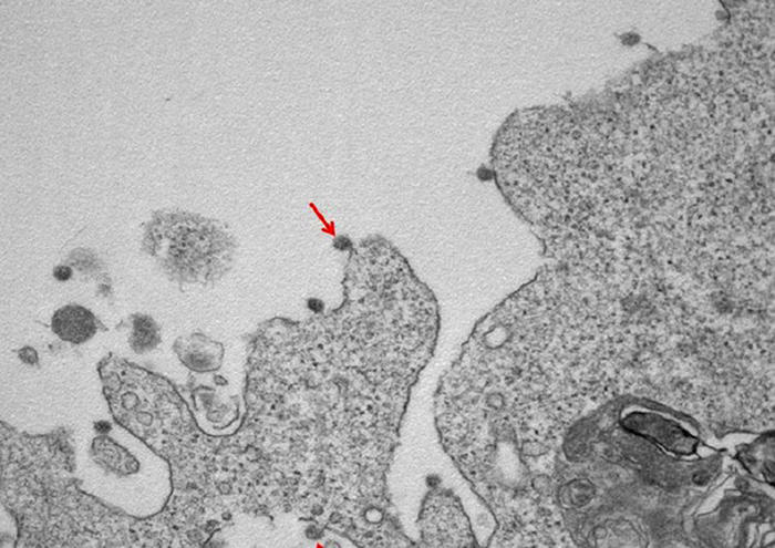
(ANSA) – MILANO, 02 APR – Si vede anche la famosa ‘corona’, nel primo ritratto in bianco e nero del virus SarsCoV2 isolato in Lombardia all’Ospedale Sacco di Milano: le immagini al microscopio elettronico mostrano le particelle virali attaccate alle membrane delle cellule e la loro tipica corona di glicoproteine superficiali.
Il coronavirus era stato isolato presso il Laboratorio di Malattie Infettive dal gruppo coordinato da Massimo Galli e Gianguglielmo Zehender, in collaborazione con l’Anatomia Patologica diretta da Manuela Nebuloni del Dipartimento di Scienze Biomediche e Cliniche Luigi Sacco.
A ottenere gli isolamenti sono stati i ricercatori Alessia Lai, Annalisa Bergna, Arianna Gabrieli e Maciej Tarkowski, mentre Antonella Tosoni e Beatrice Marchini hanno effettuato le osservazioni al microscopio elettronico e prodotto le immagini.
Nella prima, a un ingrandimento di 30000X, si osservano le particelle virali di SarsCov2 (indicate dalle frecce), adese alle membrane sulla superficie e all’interno di cellule utilizzate per l’isolamento.

